今回は、ポッキーちゃんの闘病日記です。 
7才避妊済みの女の子
病名¦心タンポナーゼ
・食欲低下、呼吸困難
・ぐったりする
心臓をおおう心膜の中に液体や血液が溜まり、心臓が圧迫されて機能が低下する危険な状態で緊急な病気です
心臓がふくらんだり、縮んだりできなくなり全身に血液をおくれなくなります。
ポッキーは仲介サイトを経て里親として引き取った子です。
約7年の月日が過ぎ、相変わらず抱っこはできない子ですが野菜は大好きで身内には分かるレベルで愛情表現もしてくれるようになりました。
何気ない日々を過ごしている事に幸せを感じてました
異変の始まり 夜間みてくれる動物病院と救急医療センターへ
4月2日 20時頃
仕事から帰ると、ポッキーがお腹を痛がる様子を見せていたので、(掛かりつけではないが)夜間に診てくれる近所の動物病院へ。
点滴を打ってもらい、普段ならそれで落ち着くはずが、むしろ段々と呼吸が荒くなり、明らかに様子がおかしい状態でした。
このまま朝を待つのは危ないと判断したので、24時間体制の救急医療センターへ。
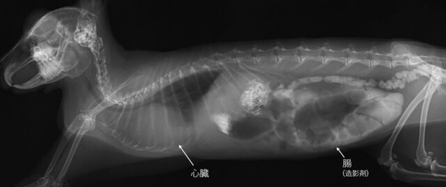
レントゲンを撮ったところ、急性胃拡張で胃にガスがパンパンに溜まっているとのこと。非常に危険な状態なので、麻酔をかけてガスを抜く処置をするため、そのまま入院が決まりました。
急な展開に、全身の血の気が引きました。
思い返せば、ポッキーは数日前からペレットを食べるスピードがおそくなりちょこちょこと数回に分けて食べていたことが気にはなっていました。
もう少し様子を見ようと通院を先送りにしてしまっていたことを、激しく後悔しました。
今はとにかく先生にお任せして処置の成功を祈るしかない、と自分を奮い立たせて病院を後にしました。
自宅療養、かかりつけ病院へ
4月5日
自宅療養、かかりつけ病院へ
かかりつけ病院でみてもらい胃腸以外にも呼吸に問題があり、危険な呼吸をしていると診断されました。点滴と胃腸薬の処方を受けて帰宅。
野菜、ペレット、チモシーを少量ですが自分から食べる様子をみせてくれるようになりました。
4月12日
病状が改善しない為、再度かかりつけ病院へ
体重も1.1kg→1.0kg減り脱水もおこしているとのことで点滴と胃腸薬の処方を受けました
ペレットを中止し、繊維質の多いものに切り替えていこうと言われました
自宅へ戻り指示通り新しいペレットをあげようとしましたが、全く食べず…。
この日の通院以降、ポッキーの様子が明らかに変わってしまいました。
顔を上に向けて歯軋りをガチガチガチガチ…とした後、首をグっと引くような仕草を何度もする。
ほぼじっとして動かず、食べる量も更に減ってしまうといった病状が続くため不安が募りました
どう考えても、今目の前のポッキーが辛そうなのは明白。
他の病院でセカンドオピニオンを受けることを決意し、うさぎの診療で評判の良い可愛動物病院さんへ、翌日相談することを決めました。
可愛動物病院へ 4月13日
10時過ぎに、可愛動物病院さんへ電話。
セカンドオピニオンを受けたい旨を受付の方にお伝えしたところ、土日でお忙しいにも関わらず「今診療中だが、必ず院長に伝えます。後ほど必ず折り返します」と、こちらが安心できるような言葉で取り次いでくださいました。
その後、院長先生が折り返し電話してくださり、ポッキーの状況を説明したところ、危険な状態の可能性が高いとのこと。この日は既に診療予約がすべて埋まっていたにも関わらず、お昼休みの時間帯であれば特別に診てくださることに。
その場で検査していただいたところ、体重は更に減って1kgを下回っていたことに加え
①低体温35.4℃(正常な直腸温は38.℃~39.5℃)
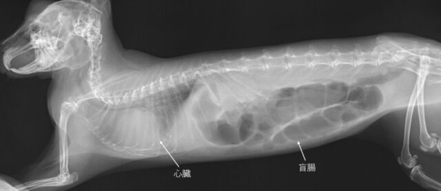
②鼓腸症
③心臓肥大
と、大きく3つも悪いところがあり、危険な状態で、このまま急変もあり得るとの診断でした。
ずっとぎゅるぎゅる鳴り続けていたお腹は、うっ滞だけでなく鼓腸症という病気でガスが腸にパンパンに溜まっていることがわかりました。
あの不自然な歯軋りも鼓腸症によるお腹の痛みと心臓が肥大したことによる呼吸困難が原因とわかりました
かかりつけ医では触診や聴心器での診察のみだったのにどうしてもっと早く判断しなかったのだろう
どうして疑問に思わなかったんだろう。
ポッキーはこの1週間、何度も何度も不調のサインを出していたのに…
院長先生は「非常に厳しい状態だが、できる限りの治療、検査を行います」と仰ってくださり、その場で入院が決まりました。
救急医療センターでの入院生活がポッキーにとってストレスが強かったため、再度入院させることに不安がありましたが、可愛動物病院さんはうさぎ専用の入院病棟があるのでこれ以上最善の環境はない、と思いお任せすることにしました。
4月14日 入院中
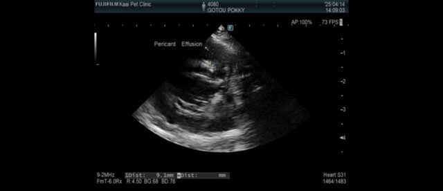
この日、心臓肥大の原因を特定するためのエコー検査を行っていただきました。
心臓に水(心嚢水)が溜まり、加えて肺にも水(胸水)が溜まっているため呼吸が苦しい状態であるとの説明を受けました
心嚢水は抜くことで呼吸が楽になるので、犬だと手術も行えるそうですが、うさぎの心嚢水が溜まるのは珍しいケースな上、オペのリスクが高く、外科的な処置はできないためICUで酸素吸入してから内科療法をメインに治療をすすめるという説明をうけました。

信じて通っていた掛かりつけ医の処置が仇となった上、根本的な治療がないという事実を到底受け入れることができず言葉を尽くせないほどの後悔の念でいっぱいになりました
感情的になってしまった私に対し、院長先生は「今はまず、胃腸の治療と低体温の改善に専念します
酸素室で呼吸を楽にして薬を投与しながら心臓の状態の変化がないか診ていきましょう」
と目の前の問題に一つずつ取り組んでいこうと提案してくださいました
とてもありがたい気持ちでいっぱいでした
4月18日 入院中
低体温の改善や鼓腸症の改善がみられるので自宅療養にむけての薬や流動食の投与練習を面会時に行いました
4月20日 退院
待望の退院です。
自宅に帰ってレンタルした酸素室に入れるとポッキーはキョロキョロしばらく探検したあと、チモシーを勢いよく食べはじめました
退院後の生活①
4月21日
自宅での投薬治療がスタートしました
毎日苦心しつつ薬と流動食を与え続けました
5月6日 往診
ここ数週間でポッキーは見違えるほど元気になり、よく食べよく動くようになってきました。時には酸素室の扉をガジガジしてアピールする事も。笑
院長先生からは「動きが随分出てきて呼吸も楽そうだ。あとは心嚢水が問題だね」と言っていただけました
5月19日 通院
ポッキーに信じられない奇跡が起きていました。
検査の結果、心嚢水のため大きくふくれていた心臓が小さくなり肺に溜まった胸水もなくなっているとのこと
体重も1kgこえて「本当に頑張りましたね」と言っていただき診察中にも関わらず涙があふれて止めることが出来ませんでした
今後は呼吸の様子を見ながら酸素室から出て運動する時間を増やして足腰が弱らないようにすること、月1回の往診で変化が起きないかをみていくことになりました。

退院後の生活②
6月~7月
ポッキーは順調に回復し、チモシーも野菜もペレットもよく食べ、うんちも立派なものをたくさん出してくれるようになりました。7月末の1日の大半を酸素室の外で生活できるようになりました
8月~9月

院長先生からも「今後は薬も酸素室も不要」とお墨付きをいただき病気する前と変わらず生活ができるようになりました
こんな小さな体でたくさんの試練をのりこえてくれたポッキー。
そして手を差し伸べて救ってくださった院長先生、スタッフの皆様にはどんな感謝をしてもしきれません
院長から
ウサギの診療を行っていていつも思うことがあります
もっと早く病院に連れてきてくれたらなあ、最初にしっかり検査をして治療していればなあと。
ポッキーちゃんの飼い主様はいままでの経過、治療を毎日記録したノートをとっており
これにより必要な検査をスムーズにすることが出来ました
ポッキーちゃんを助ける大きな力になってたと思います